

歯並びをそのままにしておくと、歯磨きがしにくいために、虫歯や歯肉炎になりやすかったり、食べることが難しい、発音しにくい言葉があるなど、さまざまな支障がおこることがあります。 また、歯並びが悪いために笑顔に自信が持てなかったりと、心理的にも影響を及ぼす場合もあります。
そのため、口腔内に装置を入れ、歯に力を加えることで人為的に歯を移動させ、悪い歯並びや咬み合わせを改善していく治療が矯正治療です。



歯並び、顎の大きさや位置が悪い状態を「不正咬合」と言います。
不正咬合には、出っ歯(上顎前突)、受け口(下顎前突)、歯のガタガタ(叢生)、上下の歯が咬み合わない状態(開咬)、などがあります。
上記のような「不正咬合」と診断され、矯正治療が必要となった場合には右図のような装置を使用します。矯正治療は一般の歯科治療とは違い保健がききません。装置だけの費用ではなく、矯正治療施術費がかかってきます。相談時に細かく説明させていただきますが、最低限の費用を次頁より参考になさってください。

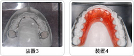
各装置について説明させいただきます、装置1、2は上顎が小さい場合に拡大する装置になります、皆さんがよく目にする装置は1の方でこれは取り外しが可能なものとなります。2の方は1の装置が使用できなかった場合使用されるもので、固定式となり取り外しはできません。装置3は前歯の反対咬合や一本だけ歯を動かしたいとき等に使用されます。これも固定式となります。装置4は矯正治療により歯を動かした後の後戻り防止装置になります。
不正咬合の種類、程度によって、適した治療時期は変わってきます。
顎の大きさや位置に問題がある場合には、成長(※)が止まる前のできるだけ早い時期から始めた方がいいと思われますが、顎に問題がなく、歯並びだけの問題ならば永久歯が生え揃い、ある程度成長が止まった時点で始めることが多いです。
最近では、大人になってから矯正治療を受けられる方も増えてきています。その場合は、顎の骨が子供よりも硬かったりするため、歯の動きが悪く、治療期間が少し長くかかることもあります。
治療期間は、一般的に2〜3年かかります。しかし、これも不正咬合の種類によって変わってきます。また、患者さんの治療に対する協力度によっても異なります。成長が止まる前の子供さんで、顎の成長に合わせて治療を行う場合には、治療が始まって顎の大きさなどの調整をおこなった後、成長が止まるまで観察期間を要する場合もあります。歯を動かす治療が終わっても、動かした位置に歯をとどめておくための保定期間も必要です。
また矯正治療中の来院は、歯を動かしている時で3〜4週間に1度、観察や保定の時では3〜6ヶ月に1度の間隔になります。ただし、装置を作り変えたり、治療のはじめの段階で新しく装置をつけるときはもう少し間隔をつめてもらうことがあります。
治療期間は、一般的に2〜3年かかります。しかし、これも不正咬合の種類によって変わってきます。また、患者さんの治療に対する協力度によっても異なります。
成長が止まる前の子供さんで、顎の成長に合わせて治療を行う場合には、治療が始まって顎の大きさなどの調整をおこなった後、成長が止まるまで観察期間を要する場合もあります。歯を動かす治療が終わっても、動かした位置に歯をとどめておくための保定期間も必要です。
また矯正治療中の来院は、歯を動かしている時で3〜4週間に1度、観察や保定の時では3〜6ヶ月に1度の間隔になります。ただし、装置を作り変えたり、治療のはじめの段階で新しく装置をつけるときはもう少し間隔をつめてもらうことがあります。
不正咬合の種類、程度、治療時期によって治療料金も変わってきますのでご相談にいらしてください。細かくお話させていただきます。
相談料は2,000円になります。
実際にお口の中を診せてもらい、お話を伺います。
治療の計画を立てるために、お口の型を採ったり、レントゲンを撮影します。
検査結果をもとに、治療方針やだいたいの期間、費用などの説明を行います。
装置が入ると、歯磨きがしにくくなり、虫歯ができやすい状態になりますので、装置が入る前に上手に磨けるように衛生士さんによる歯磨き指導を受けていただきます。治療開始後も、お口の中を見て指導が必要と判断されれば、その都度指導いたします。
また、虫歯などがある場合には、治療をしてから矯正治療をスタートします。抜歯の必要がある場合には抜歯を行います。
目的に応じた装置を装着します。装着後は装置の調節や歯の状態をチェックするために、そのときに応じた間隔で通院してもらいます。
装置を外し、歯の表面をきれいにします。
せっかく移動させた歯が、元の位置に戻らないようにリテーナーといわれる装置をつけます。取り外しができるものと取り外せないものがありますが、それはその人に応じて選択していきます。この装置が入っている期間は3〜6 ヶ月ごとに通院してもらい、歯並びに変わりがないかをチェックします。
矯正治療が終わっても、半年に1度は来院してもらい定期検診をして、歯並びや咬み合わせを維持していきます。