

ホワイトニングにもいろいろと種類があります。
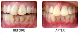
虫歯以外にも歯の表面には、お茶、コーヒー、紅茶などによって気づかないうちに汚れが付いています。虫歯の治療と共に歯に付着した汚れを落とすことによって、歯の本来の白さを蘇らせます。
歯の表面をコート材で覆い、歯を白くします。無痛で、短時間で出来ます。
歯の表面を薬剤で処理して、歯を白くします。自宅で行える方法と、医院で行う方法の2種類の方法があります。それぞれ効果と時間が異なりますので患者様のご希望及びご都合に合わせて最適な方法を選択させて頂きます。